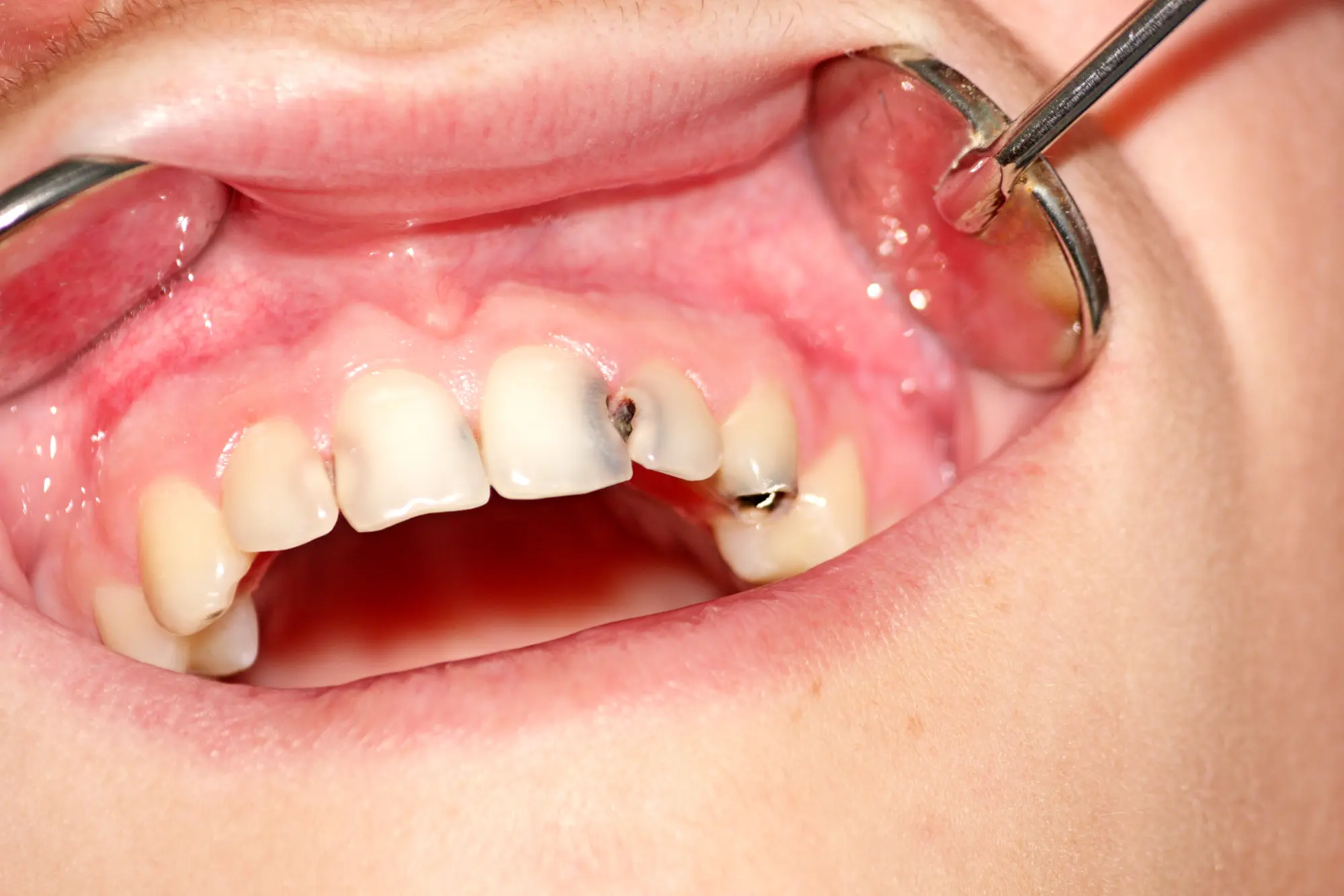
Pulpotomy Explained: Saving Your Child's Baby Teeth to Protect Their Future Smile
When it comes to your child’s smile, every parent wants the best foundation for a lifetime of healthy teeth.
Read More
When it comes to your child’s smile, every parent wants the best foundation for a lifetime of healthy teeth.
Read More
This gentle, non-invasive option is changing the way cavities are managed, especially for young patients who may feel nervous about traditional procedures.
Read More
Dental visits can be an emotional experience for children and their families, especially when advanced treatment or procedures are involved.
Read More
As the year winds down, it’s the perfect time for families to refocus on healthy routines, especially when it comes to their child’s dental health.
Read More
When cavities are left untreated in primary teeth, it can trigger a cascade of problems that go beyond just a small spot of decay.
Read More
In the vibrant community of Chula Vista, providing top-notch dental care for children is a priority for many families.
Read More
As a parent, ensuring your child's dental health is paramount, yet it can often be challenging to discern when a dental intervention is necessary.
Read More
Each type of filling has its own set of advantages and considerations, and understanding these can help you make the best choice for your child's dental needs.
Read More
Stainless steel crowns have been a staple in pediatric dentistry for many years due to their durability and cost-effectiveness.
Read More
When your child gets a dental crown, it's essential to make sure their new dental work stays in top condition.
Read More
Find out how often your child should see the dentist at Chula Vista Pediatric Dentistry. Ensure healthy smiles in Chula Vista, CA with regular dental checkups!
Read More
One of the foundational aspects of your child's health is their dental hygiene. But when is the right time to start cleaning your child's teeth?
Read More
Regular teeth cleanings are crucial for maintaining your child's oral health, preventing cavities, and setting the foundation for a lifetime of healthy smiles.
Read More
As we welcome the New Year, it's the perfect time to instill new and healthy dental habits in your child.
Read More
Pediatric dentists undergo additional training beyond general dentistry to understand children's unique dental needs.
Read More
It's not uncommon for children to experience dental anxiety, but as a parent, it can be challenging to see your child fearful of a dental visit.
Read More
As a parent, nothing can be quite as alarming as a dental emergency involving your child.
Read More
Accidents can happen and it's crucial to know how to handle them, especially when it comes to dental
Read More
Navigating through the world of pediatric dentistry can be overwhelming, especially when your child is anxious or fearful.
Read More
Oral conscious sedation is a term that may sound intimidating, especially when it's associated with your child's dental care.
Read More
At Chula Vista Pediatric Dentistry, we are here to guide you every step of the way.
Read More
Teething is an important stage in your child's growth, but it can also cause a lot of discomfort and sleepless nights.
Read More
As a parent, you always want to ensure your child's health and wellbeing.
Read More
In this blog post, we will discuss whether fluoride-free toothpaste is the right choice for your little ones.
Read More
Take care of your little ones teeth this holiday season and learn the best and worst candies for your child to eat.
Read More
Understanding the fundamentals of this procedure can provide peace of mind so you’re well-equipped to make informed decisions about your child's dental health.
Read More.jpeg)
Does your child's breath smell bad? Read our blog to learn what could be causing it and how it can be fixed!
Read More
Some of the most common oral health issues women can deal with during pregnancy.
Read More
Wondering if sedation dentistry is safe for your little one? Learn more in this post
Read More
How does this happen, and what does it mean for the new parents? In this article, we'll explore why babies can be born with teeth and what you should do if you think your baby has them.
Read More
Wondering how to teach your child about the dentist? Here are our tips for calming you kids dental fears!
Read More
Read on to learn what causes cavities in children and how to prevent them.
Read More
Dental anxiety is a normal reaction in children when they visit a dentist. Here are a few tips to help your child overcome the fear of dentists.
Read More
Our awesome team of doctors believes that kids who have amazing regular dental experiences at a young age grow into adults who understand the importance of routine dental care and tend to have less dental fear.
Read More